Digital Treatment
Planning
The first open system for surgical guide design.
More than 10 Proprietary Techologies
to prevent treatment errors and risks, and
to support various clinical cases

Implant Surgical Guides
Tooth-borne | Bone-supported | Tissue-borne | bone reduction |
Bone grafting | Prosthesis guide | Tooth extraction I Bone harvest |
Zygomatic guide | Sinus lifting | Impression guide

Clear Aligner
Solution
First FDA cleared Orthodontic software with CBCT Roots and Bones
Aligner Manufacturing Consulting Services
Chairside Aligner Fabrication

GuideMia OrthoPlus Software
Software Versions
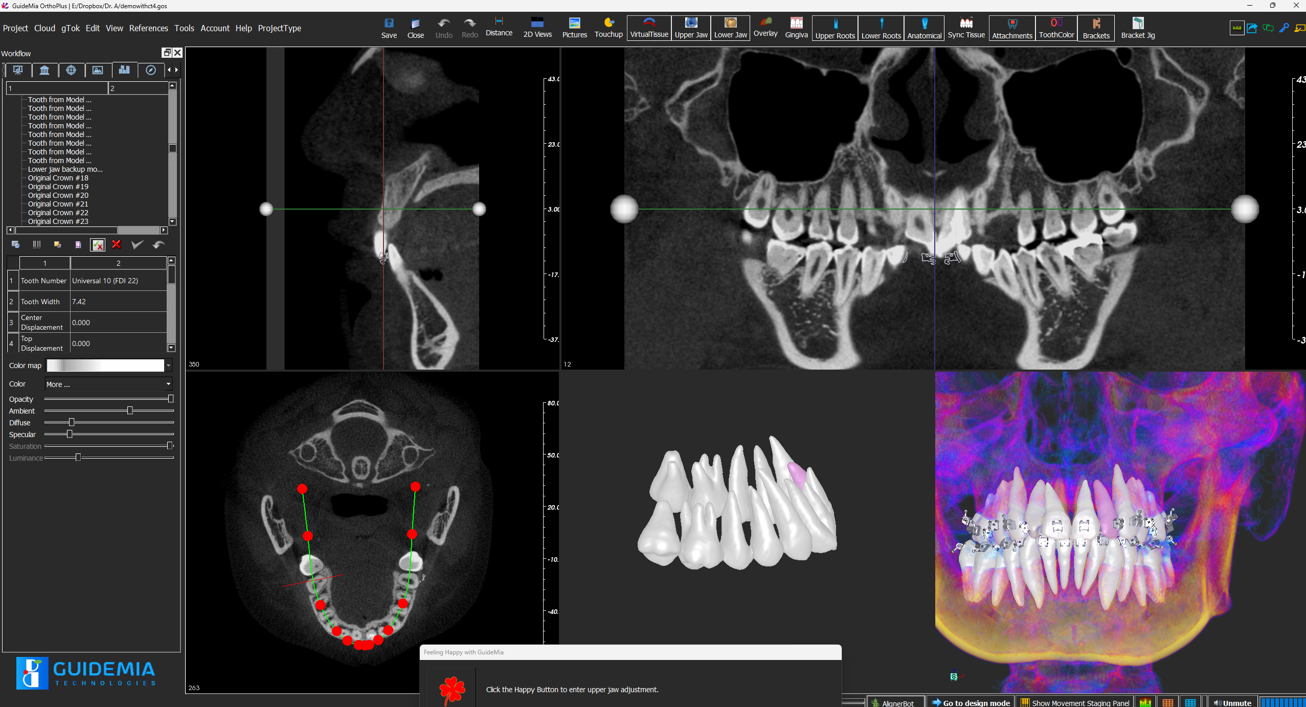
GuideMia Ortho+ is the design software with options for clear aligners and bracket bonding guides. It has the full set of features for model processing, treatment planning, reporting, as well as appliance design.Ortho+ can handle all kinds of cases in a very efficient way. For a medium complexity case with intro-oral scans, it can finish design within 10minutes,
GuideMia OrthoClic is the chairside system for dentists and their assistants to quickly load patient scan, segment teeth and simulate tooth movements. Within just 3-5 minutes, they can show their patients a preliminary treatment plan and send cases to Ortho+ site to finish design.
It is also used as a planner version to review designs from Ortho+ sites.
For Clear Aligners
GuideMia Orthodontic systems are designed to meet the clinical needs and to promote the application of digital technologies. The systems are designed with various advanced features in the following areas:
- Multiple inputs including but not limited to CBCT, intra-oral scans, facial scans, etc.
- Full anatomical model including crowns, roots, bones, soft tissues as well as occlusions
- All-in-one model cleanup reducing the model processing time by more than 70%
- AlignerBot: All tooth segmentation, automatic treatment planning and aligner design
- Fully automatic model generation for aligner models and bracket bonding guides
- Industry’s first system that automatically generates aligner models for direct printing
For Bracket Bonding Guides
Direct bonding guides for any bracket brands, which reduce the time and cost for design, fabrication and clinical process by more than 70%
- Automatically bracket placement
- Parametric design for brackets
- Open to all bracket brands
- Fully automatic model generation
- Acid etching guides
We work with bracket companies to add their brackets into the system or develop customized jigs
Anchorage implant guides
GuideMia Ortho+ AlignerBot
Aligner-in-an-hour
GuideMia is an open system that works with any CBCT, model scanners, intra-oral scanners and 3D printers. With its super fast planning and design capability, GuideMia enable dental offices and labs to design and make aligners within an hour, instead of weeks from the leading competitors.
Design in the cloud
GuideMia also the industry’s first integrated cloud design system. Powered by AWS and GuideMia Ortho+, dental offices and labs can upload a case to the cloud and receive the design within as quick as 20 minutes. We can also help you to setup your automatic process, which is extremely promising for simple to medium cases. We can also help deploy an automatic design system with customer’s AWS account and on-premise software installation.
Design Services
Buy Now and Save
With the design service, we will send you design reports, and STL files for aligner manufacturing. Please call us for detailed workflow information. Here is a brief introduction of the process, which you can do with our online case management:
- You send us DICOM/STL/PLY/OBJ files
- We finish the initial design and send to you
- We schedule review meeting with you, or send you software so you can adjust your plans. GuideMia Planner is a free software same as Clincheck for you to finalize your plans if you prefer to refine tooth setup yourself.
- Design is finished after review meeting, and STL files are delivered to you through emails or download links.
After you place order, please go to https://ai.guidemia.com/case-management to create your cases.
Please kindly notice that the price is for regular clinical cases. For extreme situations GuideMia reserves the rights to increase price or decline cases.
For dental labs and clear aligner manufacturers, if you are using automatic aligner trimming, laser marking, etc, we offer custom design services to tailor our software according to your fixtures and equipment. Please contact us for such business needs.
$45.00 – $200.00Price range: $45.00 through $200.00
This item includes 8 hour one on one training and 3 month technical support. In this training program customers will learn the workflow and operations to perform orthodontic treatment planning, aligners design and bracket bonding guides. Please look for “Book a Demo or Training” page to schedule training with us after purchase.
$1,280.00 Original price was: $1,280.00.$1,000.00Current price is: $1,000.00.